Emulsion

Materials: Acrylic, marker, wrapping paper, herbs and chili flakes on paper
Year: 2021
Dimensions: 21 × 29.7 cm
Status: Not available for purchase
Emulsion artwork by Tuna Baydin
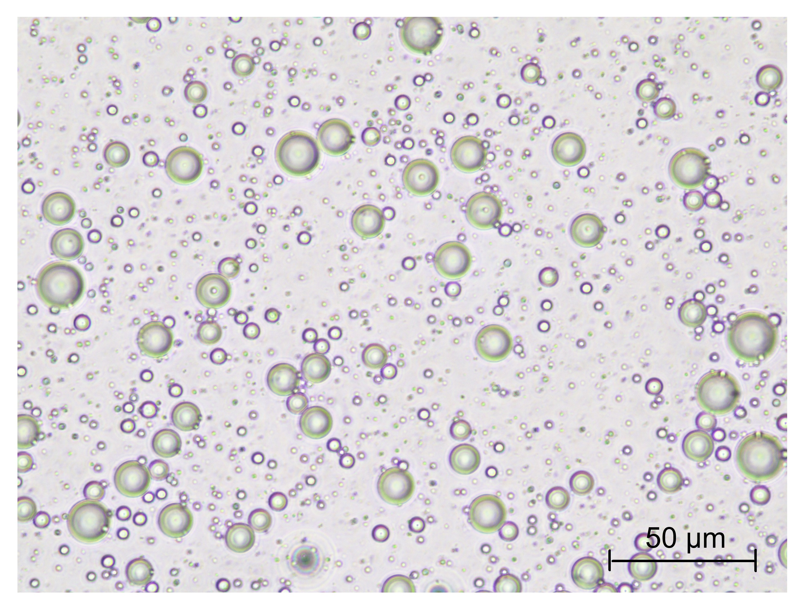
Microscope emulsion image by Tuna Baydin

Corn oil emulsion, stabilized by 2% (w/w) polysorbate 80. The photograph was taken with Nikon Eclipse TS100 at 40X magnification.

I have worked with edible emulsions since 2016 as a part of my master's and PhD project. Emulsions are a mixture of two liquids that normally do not mix with each other, like oil and water. With the help of surfactants, emulsions are generated through a process called homogenization. I photographed emulsions under a microscope (see below). In the miscroscope image you can see that the oil droplets are dispersed in water. This scientific activity inspired the piece.

In the artwork, every emulsion drop is unique. It is almost like every drop is a universe within itself. Just like us.

Does every choice we make create a new universe? Could it be that in each parallel universe we create, there is a slightly different version of us?

Emulsion decoration detail